jun0401_01.png
 교정치료정보 > 치아교정대상

돌출입
덧니
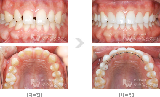
Spacing(공간, 틈이 벌어진 치아)
개방교합
과개교합
매복치
선천성 치아결손
치아크기 이상
상실치
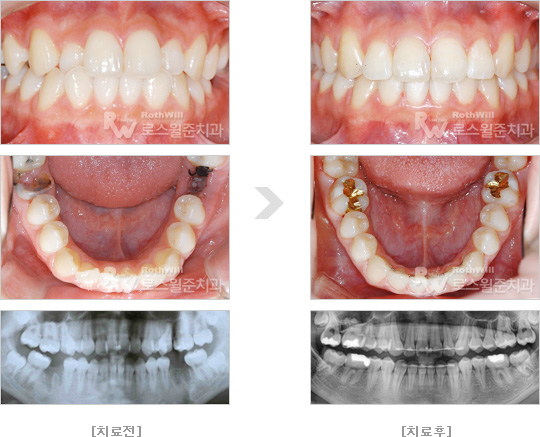
반대교합
뻐드렁니
주걱턱
무턱
비대칭