교정장치의 종류는 장치를 환자가 직접 끼웠다 뺐다 할 수 있는 가철식 장치와 치아에 부착하는 고정식 장치, 입밖으로 장치가 나오는 구외장치가 있습니다.
-
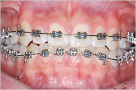
치아교정 치료가 시작된 초기부터 사용된 교정장치로 가장 보편화되어 있으나 심미성이 떨어지는 단점이 있습니다. -
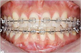
세라믹은 도자기 재질로 만들어진 장치이며 치아의 색과 유사해 심미적이어서 금속장치에 거부감이 있는 분들께 선호되는 장치입니다. -
교정용 철사를 교정장치에 묶기위해 가는철사나 고무링을 사용하지 않고 똑딱이 뚜껑이 달려있는 교정장치입니다. 기존 장치에 비해 마찰력이 적어 통증이 적다는 장점이 있습니다. -
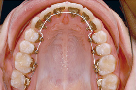
교정장치를 치아의 안쪽 면에 부착하는 것으로 가장 심미적이지만 발음시에 방해가 되거나 칫솔질이 어려운 단점이 있습니다. 최근에는 발음에 장애가 적도록 개선된 형태의 인코그니토 설측장치가 있습니다.
기능적인 문제가 있을 경우 악궁확장, 치조골의 리모델링 등을 통해 기능적 회복하고 정상정인 성장을 유도합니다.
주걱턱 경향이 있어서 코 주변의 중 안면부가 들어가 보이는 경우나 앞니가 반대로 물리는 경우에 사용하며 위턱뼈의 성장을 촉진시켜 골격적 부조화를 개선합니다.
윗턱이 앞으로 돌출되고 윗턱 전방부의 수직길이가 길며 웃을 때 잇몸의 노출이 심한 경우에 사용하며, 윗턱뼈의 전방성장과 전치부의 하방성장을 억제하여 골격적 부조화를 개선합니다.
윗턱이 전방으로 많이 돌출되어 있거나 윗 치아가 전방으로 돌출되어 있는 경우에 윗턱의 성장을 억제하여 골격적 부조화를 개선합니다.
치아전체를 얇게 덮어주는 일종의 플라스틱장치로 간단하게 치아를 이동할때 사용하며 다양한 교정치료에 적용하기엔 어렵습니다.





