교정치료가 완료되면 치아에 부착된 교정장치와 접착제를 제거하고 입안을 깨끗하게 합니다.
장치 제거 후에는 얼굴 및 입안사진 촬영, X-ray 촬영 등 치료종료 자료를 채득하고 임시유지장치를 만들어 드립니다.
이 모든 과정이 당일에 이루어지고 2-3시간 정도 소요되므로 장치제거 약속은 미리 충분한 시간을 비워두셔야 합니다.
교정치료 후에 치료결과를 잘 유지하려면 유지장치를 잘 착용해 주셔야 합니다.
교정치료가 끝났어도 치아 주위 조직의 재형성이 완료되려면 상당한 시간이 필요하기 때문입니다.
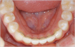
앞니 치아의 안쪽 면에 가느다란 철사를 붙여 치아의 움직임을 예방하는 유지장치입니다.
유지장치를 뺄 수 없기 때문에 칫솔질을 잘 해주셔야 합니다.
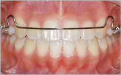
철사와 플라스틱 부분으로 이루어진 유지장치로 환자분이 직접 꼈다 뺐다 할 수 있습니다.
전체적으로 치아를 안정된 위치로 유지해주면서, 위 아래 치아들이 조금 더 자연스럽게 맞아 들어갈 수 있도록 가이드라인 역할을 해줍니다.
고정식 유지장치는 장치 주변으로 치석이 생길 수 있기 때문에 올바른 방법으로 잘 닦아 주어야 합니다.
만약 철사가 치아에서 탈락되면 치아가 움직일 수도 있으므로 빨리 치과에 오셔서 다시 부착해야 합니다.
가철식 유지장치는 교정치료가 끝나서 장치를 모두 제거한 후, 처음 6개월에서 1년간은 식사 때와 칫솔질을 할 때를 제외하고 하루 종일 장착해야 합니다.
그 후에는 주로 밤시간에만 장착하면서 점차 장착시간을 줄이게 됩니다.
교정이 끝난 후 정기 점검을 위해 교정치과에 내원할 때는 반드시 유지장치를 가지고 내원하여 체크를 받으셔야 합니다.





